EPIFIZA BEZ FLORA: Najvažnija stvar za naše zdravlje!
 
Koliko je epifiza važna za naše psihi
čko i ifzičko zdravlje? Koliko je epifiza povezana sa spiritualnim znanjem? Koliko flor truje našu epifizu i uzrokuje psiho-fizičke bolesti?Postoje određene kontroverze o dodavanju sintetičkog flora gradskim vodovodima ili u druge vrste vode za ljudsku upotrebu, na žalost do sada nije bilo dovoljno rasprave o tome. Ova tema je puno ozbiljnija nego li se o njoj zna u javnosti. Floridacija je jednako opasna kao GMO proizvodi, forsirana cijepljenja i jednako je užasan kriminal protiv čovječnosti.
 
 
Normalna epifiza bez utjecaja otrovnog flora i kalcifikacije, koja je prirodni pokušaj tijela da kalcijem anulira flor.
Treba znati razlike između različitih vrsta flora
Postije dvije vrste flora. Kalcij-florid, koji je prirodni sastojak u gotovo svim podzemnim izvorima i on je relativno bezopasan. Pa ipak ako ga svakodnevno konzumirate u prevelikim količinama, možete imati problema s kostima ili zubima. Kalcij se inače koristi za neutralizaciju većinu toksičnih svojstava flora.
 
 
Natrij-florid najčešći otrov za štakore i kukce u SAD-u se direktno dodaje većini vodovoda u SAD-u, buteljiranoj vodi i sokovima, gaziranim pićima i hrani!
S druge strane, vrsta florida koji se dodaje vodi, pićima i hrani je otpadak iz procesa nuklearne i aluminijske proizvodnje, naročito proizvodnje fosfata to jest industrije umjetnih gnojiva. EPA – Environmental Protection Agency, ili Agencija za Zaštitu Okoliša SAD-a ih je klasificirala kao otrove; florosilikatnaukiselinu, natrij-silikoflorid i nartij-florid.
Za ovaj tekst koristi ćemo termin natrij-floridi za sva tri tipa. Natrij-florid se koristi kao otrov za štakore, i kao pesticid. Prema znanstvenoj studiji koja je napravljena prije nekoliko godina pod nazivom: Comparative Toxicity of Fluorine Compounds, ili Komparativna toksikologija spojeva flora, industrijski otpad natrij florida je 85 puta toksičniji od prirodnog kalcij-florida.
Opasnost po zdravlje od natrij-florida
 
 
Kalcificirana epifiza koja je otrovana i blokirana florom.
U biti je flor jako teško izbaciti iz tijela kada u njega uđe. On se obično akumulira u kostima i zubima. Nedavno je otkriveno kako se još više akumulira u epifizi, epifiza je žlijezda smještena u središtu mozga.
 
 
Secirana kalcificirana epifiza. Epifiza pretvorena u kamen prekomjernim trovanjem florom i pokušajem tijela da kalcijem anulira otrovni flor!
Jako dobro je dokumentirana dentalna florizacija koja oštećuje zube svakodnevnim floriranjem tijela. Pa ipak, AMA – American Dental Association ili Američko Zubarsko Udruženje, uporno ponavlja kako je flor dobar za zdravlje! Katastrofalno je kako ovakvi profesionalci odbijaju prihvatiti činjenicu da flor uzrokuje zdravstvene probleme i propast zuba.
 
 
Rentgenski snimak kalcificirane epifize.
Poplava primjene natrij-florida u vodi i hrani također stvara ozbiljne zdravstvene probleme koji nisu javno obznanjeni, u stvari takve informacije se prikrivaju.
Neovisne laboratorije i prominentni znanstvenici su povezali slijedeće bolesti sa svakodnevnim dugoročnim korištenjem natrij-florida:
Kancerogena oboljenja
Genetička šteta na DNK
Remećenje rada štitne žlijezde – U stvari flor pravi poremećaj na cijelom endokrinom sustavu i stvara prekomjernu težinu.
Neurološki problemi i poremećaji – smanjuje inteligenciju, stvara nemogućnost koncentracije i fokusiranja, stvara letargiju i zabrinutost!
Alzheimerova bolest
Poremećaj stvaranja melatonina (s time i poremećaj serotonina, spavanja i stvaranje nesanice) smanjuje imunitet na kancerogena oboljenja, ubrzava starenje.
Epifiza, stvara kalcifikaciju koja u potpunosti zakrči i blokira rad ove žlijezde u centru mozga.
Kako smo se uvalili u takve probleme?
 
 
U SAD-u se flor još uvjek propagira kao prirodni sastojak za očuvanje i zaštitu zuba.
Prema otkrićima istraživačkog novinara Christophera Brysona, autora knjige: The Fluoride Deception ili Prevara florom, saznali smo kako je ubacivanje velikih količina natrij-florida u sustave za opskrbu vodom i u hranu bio veliki pothvat koji je sponzorirala teška industrija kako bi se oslobodila otrovnih materijala koji su nastali kao nus-proizvodi.
 
 
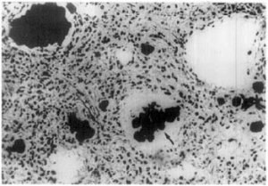
Kalcificirano tkivo epifize pod mikroskopom, obratite pažnju na crna područja koja su u stvari okamine u epifizi.
Flor je bio potreban u procesu obogaćivanja urana. Propaganda za floridaciju je počela za vrijeme Manhattan projekta koji je za zadatak imao stvaranje atomske bombe u četrdesetim godinama XX vijeka. Smišljeni zaokret se dogodio kada se počelo nagovarati radnike i lokalni žitelje oko najveće nuklearke u Tenesseeju da je flor ne samo siguran već i jako dobar za zdravlje dječjih zuba.
 
 
Rani pokušaji obogaćivanja urana u Oak Ridgeu u SAD-u napravio je ogromne količine flora koji se negdje trebao potrošiti, vodovodni sustav je bio savršeno rješenje.
U ranim pedesetim godinama XX vijeka ozloglašeni majstor manipulatora i otac modernog marketinga Edward Bernays je nastavio s kampanjom za dodavanje flora vodovodima i vodi za piće, nastavljajući eksperimentiranje s pritiskom na narod kako bi dobio njihov pristanak. Tada je AMA došla na ideju o dentalnim problemima kako bi prinudila ljude na floridaciju natrij-floridom, uz dodatnu floridaciju u vodovodu i vodi za piće. Malobrojne znanstvene studije koje su progovarale o opasnostima flora su bezdušno zgnječene i nisu došle do javnosti. Ti izdvojeni neovisni glasovi znanstvenika su nazvani šarlatanskima bez obzira na vjerodostojnost autora i njihovih rezultata istraživanja.
 
 
Alarmantni podaci floridacije vodovoda u SAD-u!
Oko dvije trećine vodovoda u SAD-u je zasićeno natrij-floridom. Natrij-florid je uobičajeni pesticid. Tako da se tragovi ovog spoja nalaze i u hrani.
Neka gazirana pića, pakirani sokovi od naranče i čak buteljirana voda za piće sadrži aditive od flora. Upozoravamo potrošače da jako pažljivo pročitaju naljepnice proizvoda koje kupuju.
Izbjegavanje floridacije
 
 
Jedna od vrsta kućnih filtera koji rade na principu obrnute osmoze.
Imajte na umu da prokuhavanje samo povećava koncentraciju flora u vodi. Micanje flora iz vode iz vodovoda i nije lagan poduhvat. Da bi se spojevi flora maknuli iz vode potreban je proces koji se naziva obrnuta osmoza, ovaj proces će iz vode maknuti mnoge otrove i teške metale. Na tržištu postoji nekoliko različitih sustava za pročišćavanje vode s ovakvim sustavima, oni se obično montiraju ispod sudopera, no i dosta su skupi.
Važnost epifize u psihološkom zdravlju
U kasnim devedesetim godinama XX vijeka, u Engleskoj je znanstvenica Jennifer Luke napravila prvu studiju koja je ispitivala utjecaj flora na epifizu. Ona je otkrila kako je malena žlijezda epifiza, ili pinealna žlijezda, smještena u centralnom dijelu našeg mozga, meta flora kada jednom uđe u naše tijelo. Epifiza jednostavno apsorbira puno više flora nego li bilo koji drugi fizički dio našeg tijela, čak puno više nego li ga apsorbiraju naše kosti.
Zbog iznimne važnosti koje epifiza ima u našem endokrinom sustavu (sustavu žlijezda s unutrašnjim izlučivanjem), zaključci Lukeove su označili prekretnicu na ovom polju istraživanja. Ona je otkrila dokaze o negativnim lančanim reakcijama koje se događaju u endokrinom sustavu kada se dogodi kalcifikacija epifize florom.
No imamo mi i dobru vijest!

Često izlaganje Sunčevim zrakama, od nekih 20 minuta dnevno u jednom nizu, će pomoći stimulirati florom kalcificiranu epifizu. Samo je važno da maknete pokrivalo za glavu (kape, šešire, tupee itd), inače Sunce neće moći odraditi svoju ulogu stimuliranja pravilnog rada epifize. Od iznimne je važnosti da taj podatak svi shvate, jer epifiza kontorlira rad mnogih enzima i rad drugih žlijezda s unutrašnjim izlučivanjem, kao i stvaranje melatonina koji je pak važan za proces spavanja.
Poveznica s 2012. godinom
Svi su čuli svašta o 2012. godini. Prema istraživanju antropologa i povjesničara Carlosa Barriosa koji je u istraživanje uključio Majanskog ceremonijalnog svećenika, on je zaključio sljedeće „Antropolozi i znanstvenici posjećuju Majanske hramove i čitaju njihove zapise ali oni ne čitaju pravilno ono što su Maje zapisale. Ljudi govore kako su Maje prorekle da će se svijet nestati krajem 2012. Maje i njihovi mudraci nisu napisali nešto tako. Svijet neće nestati već će biti transformiran.“
 
 
Carlos Barios: “Svijet neće nestati 2012. godine!”
Carlos Barrios je puno puta pisao i govorio o tome kako će transformacija biti spiritualna i fizička. Tranzicija je započela 1987. godine. On tvrdi kako se mi nalazimo u spiritualnoj tranziciji s materijalnog; pohlepe, zavisti i ljubomore u novi period kooperacije i mira – no ne bez problema i prepreka. Trenutačna oligarhija je sretna s onim što ima i od toga se ne želi odreći, ne zaboravimo da je ta naša oligarhija iznimno moćna. Maje tvrde da 2012. predstavlja prijelaz iz četvrtog u peti period.
Carlos tvrdi kako nasilna revolucija protiv vladajuće klase neće uspjeti. On tvrdi da je potrebna promjenama u nama kako bismo se povezali umovima u pravu vrstu suradnje. Na takav način će stari sustav vladanja nestati. On također smatra kako ćemo proći kroz periode problema i prepreka dok se ne promijenimo. Carlos također smatra kako mi također trebamo biti u stanju vidjeti i shvatiti što se događa i da to trebamo prihvatiti. On smatra kako je osim znanja i ljubavi potreban osjećaj suradnje i kooperacije s manje ega i natjecateljskog duha.
U kakvoj je vezi uloga epifize i period nakon 2012. godine
Kakve veze ima sva ta priča o 2012. godini s našom epifizom? Rekli bismo, ima puno veze! Epifiza se smatra portalom i linkom između nas i našeg višeg ja, o kojoj pričaju i jogini uključujući i Paramahansa Yoganandau, autora knjige Autobiography of a Yogi ili Autobiografije jogina. Vidovnjaci i ekstrasensi smatraju kako je epifiza poveznica s inter-dimnezionalnim iskustvima (Superluminalnom komunikacijom o kojoj smo više pisali ovdje.). Epifiza se umnogome povezuje s takozvanim „trećim okom“ ili sedmom čakrom. (Nije šesta, čakre su povezane s takozvanim pastirskim štapom. Krunska čakra je šesta, treće oko je sedma, a zašto se o tome jako malo zna vi zaključite sami.)
 
 
Rick Strassman: DMT – Duhovna molekula.
Neobični psihijatar, profesor medicine na Sveučilištu u Novom Meksiku, budist, doktor Rick Strassman je napisao knjigu o istraživanju učinka djelovanja psihodelične droge DMT-a ili spiritualne molekule na ljude. On je između mnogih drugih stvari otkrio kako je epifiza izvor stvaranja DMT-a za vrijeme rođenja i smrti, za vrijeme događaja bliski smrti i drugih mističnih iskustava.
Taj njegov kemijski pristup spiritulanosti odgovara ideji da je epifiza portal, gdje duša prolazi u druge dimenzije, ulazi ili izlazi u fizički domen u kojemu sada živimo.
 
 
Pripravak od Ayahuascae.
Šamani Srednje i Južne Amerike koriste biljni pripravak koji stimulira stvaranje DMT-a, taj pripravak se zove Ayahuasca, ona se koristi za psihološko liječenje i ceremonije spiritulane inicijacije. Oni su svoje ceremonije proširili i za ljude izvan njihovih zajednica. Njihova je želja da prošire obzore svim individuama koje uzmu Ayahuascau, kako bi se pomoglo u svjesnoj tranziciji svijesti koliko je god to moguće. (Naravno da je ovdje jako važan momenat znanja, poznati su nam eksperimenti koji su se radili tijekom 60. i 70. godina XX vijeka u kojima su se davali halucinogeni ljudima koji jednostavno nisu mogli podnijeti sva „viđenja“ koja su imali u narkotiziranom stanju, što jednostavno daje za primjer da svjesnost mora pratiti znanje i obrnuto.)
Ove informacije koje smo napisali imaju zadatak povezivanja naše epifize s astralnim domenima to jest da naša epifiza povezuje nas s višim stanjima svijesti i drugim realitetima. Mi s ovim tekstom ne želimo promovirati korištenje psihodeličnih droga već želimo promovirati zdravlje, meditaciju i duhovni razvoj tako što ćemo našu epifizu držati dalje od flora i što ćemo je od flora očistiti.
Cijeli tekst na engleskom jeziku i znanstvene reference pročitajte ovdje.
Drugi tekstovi povezani s ovom tematikom:
Zapadnjačka kultura je opsjednuta s propašću svijeta, a ne Maje!
Meksikanci otkrili nove arheološke zapise Maja o 2012. godini
Istraživači iz preko 100 zemalja širem svijeta dokazali: SUNČEVA SVJETLOST SPRIJEČAVA RAK!
Istina o floru – Što bi svaka majka trebala znati
Psihopatija: Kultovi i zla religije – zašto se homo sapiensu brani da postane više biće?
Živimo u svijetu dezinformacija, je li za to dijelom zaslužna i UMNA KONTROLA?
10 Modernih metoda za kontrolu uma
Stres: kako se boriti i izboriti protiv pandemije novog milenija?
Znanstvenici dokazali DNK se može reprogramirati riječima i frekvencijama!
Dokumentarac PBS-a istakao nevjerovatnu učinkovitost marihuane u tretiranju bolesti
Izvor: http://matrixworld-hr.com/2012/01/15/epifiza-bez-flora-najvaznija-stvar-za-nase-zdravlje/
 




 
 

 
 
 
 
 
 
 
 
 
 
 
 
 
 
 
 
 
 
 
 
 
 
 
 
 
 
 
 
 
 


 
 
 
 
 
 
 
 
 
 
 
 
 
 
 
 edin.kecanovic
edin.kecanovic irida
irida med.mlijeko
med.mlijeko vanessa
vanessa bglavac
bglavac 
 
 
 
 
 
 
 
 
 
 
 
 
 
 
 
 
 
 
 
 
 
 
 
 
 
 
 
 
 


















 
 
 
 
 
 
